đa ung thư

Sút 4kg trong 1 tuần, đi khám phát hiện mắc cùng lúc 2 loại ung thư

Sút 4kg trong 1 tuần, đi khám phát hiện mắc cùng lúc 2 loại ung thư

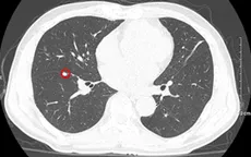
VTV.vn - Khám tại Bệnh viện Bạch Mai, bệnh nhân được chẩn đoán mắc ung thư phổi và ung thư đường mật.