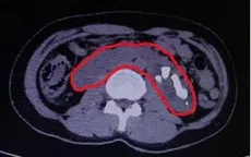
Thận móng ngựa

Phẫu thuật lấy sỏi san hô phức tạp trên bệnh nhân thận móng ngựa

Phẫu thuật lấy sỏi san hô phức tạp trên bệnh nhân thận móng ngựa

VTV.vn - Bệnh viện Quốc tế Hoàn Mỹ Đồng Nai tiếp nhận bệnh nhân nữ 27 tuổi trong tình trạng đau tức hông bụng trái, thắt lưng trái âm ỉ, kèm tiểu buốt, tiểu gắt tái diễn nhiều lần.
Một bệnh nhân mắc thận móng ngựa bẩm sinh hiếm gặp

Một bệnh nhân mắc thận móng ngựa bẩm sinh hiếm gặp

VTV.vn - Bệnh viện đa khoa tỉnh Hà Giang vừa phẫu thuật thành công cho bệnh nhân Chảo Páo Toan (28 tuổi, trú tại Tả Lủng, Mèo Vạc, Hà Giang) mắc thận móng ngựa bẩm sinh.