trẻ bị đột quỵ

Bé gái 8 tuổi bị đột quỵ sau khi tắm

Bé gái 8 tuổi bị đột quỵ sau khi tắm

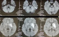
VTV.vn - Trung tâm Đột quỵ, Bệnh viện đa khoa tỉnh Phú Thọ vừa tiếp nhận bé gái 8 tuổi bị đột quỵ đã được điều trị tại Bệnh viện Nhi Trung ương.