Áp xe gan do sán lá gan: Lời cảnh báo từ thực tế điều trị

Tuấn Văn

18/09/2025 14:55 GMT+7

VTV.vn - Một bệnh nhân 60 tuổi, trú tại Đặc khu Vân Đồn (Quảng Ninh) vừa được chẩn đoán áp xe gan do nhiễm sán lá gan.

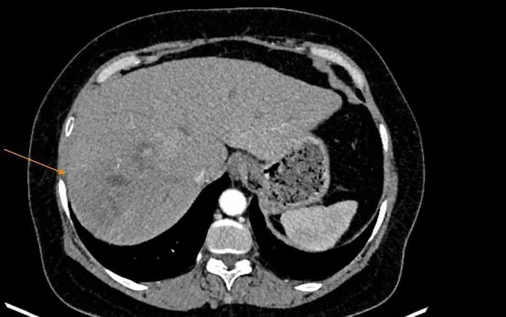
Bệnh nhân nhập viện trong tình trạng sốt rét từng cơn, nhiệt độ 39 độ C, kèm đau tức vùng hạ sườn phải. Dù đã tự dùng thuốc tại nhà nhưng tình trạng không cải thiện. Khi được thăm khám, kết quả xét nghiệm cho thấy bạch cầu ái toan tăng cao, Fasciola IgG dương tính. Siêu âm và CT phát hiện ổ áp xe ở gan phải, kích thước hơn 5 cm.

Sau một tuần điều trị, sức khỏe bệnh nhân ổn định, hết sốt, giảm đau bụng và được xuất viện. Các bác sĩ lưu ý, nhiễm sán lá gan lớn có thể diễn biến âm thầm trong nhiều năm. Khi ký sinh lâu dài trong gan, sán gây tổn thương đường mật, tạo điều kiện hình thành ổ áp xe, dẫn tới biến chứng nguy hiểm như sốc nhiễm khuẩn, vỡ ổ áp xe, thậm chí ung thư gan và ung thư đường mật.

Theo ước tính, tại Việt Nam có khoảng 1 triệu người đang mang sán lá gan lớn. Loài ký sinh này chủ yếu tồn tại ở động vật ăn cỏ như trâu, bò, cừu, phát tán ra môi trường qua phân. Người có thể mắc bệnh do ăn sống các loại rau mọc dưới nước như rau nhút, rau ngổ, rau cần, cải xoong hoặc uống nước chưa đun sôi chứa ấu trùng sán.

Tổ chức Y tế Thế giới (WHO) xếp sán lá gan vào nhóm 20 bệnh nhiệt đới bị lãng quên nhưng cần ưu tiên loại trừ.

Các bác sĩ khuyến cáo, người dân cần thay đổi thói quen ăn uống, tuyệt đối không ăn rau sống thủy sinh hay hải sản chưa chế biến kỹ. Đồng thời, cần định kỳ tẩy sán cho vật nuôi, giữ vệ sinh môi trường và đến cơ sở y tế thăm khám khi có triệu chứng bất thường như sốt kéo dài, đau bụng, vàng da. Việc phòng ngừa chủ động sẽ giúp bảo vệ sức khỏe cá nhân và cộng đồng, giảm gánh nặng bệnh tật do sán lá gan gây ra.

Bạn cần đăng nhập để thực hiện chức năng này!

Bình luận không đăng nhập

Bạn không thể gửi bình luận liên tục.
Xin hãy đợi 60 giây nữa.