Cảnh báo bệnh ấu trùng sán dây lợn từ thói quen ăn thực phẩm sống

Tuấn Văn

09/10/2025 22:18 GMT+7

VTV.vn - Bệnh viện Trung ương Quân đội 108 vừa tiếp nhận bệnh nhân nữ 77 tuổi nghi nhiễm ấu trùng sán dây lợn với hàng chục nốt vôi hóa trong não và dưới da.

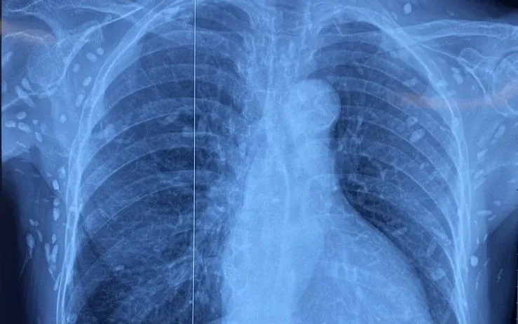
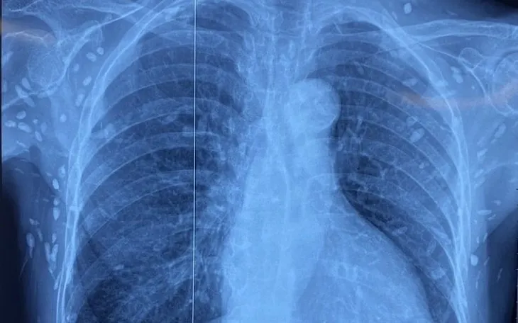
Nhiều nốt cản quang dưới da thành ngực-bụng và chi trên.

Nhiều nốt cản quang dưới da thành ngực-bụng và chi trên.

Người bệnh được chuyển đến Viện Lâm sàng các bệnh Truyền nhiễm trong tình trạng rối loạn ý thức, đe dọa suy hô hấp. Kết quả chụp cắt lớp vi tính sọ não và X-quang ngực - bụng cho thấy rất nhiều nốt cản quang nằm rải rác trong nhu mô não và dưới da vùng ngực, bụng, tay. Một số u cục có thể sờ thấy bằng tay.

Theo bác sĩ điều trị, mặc dù xét nghiệm kháng thể IgM âm tính, hình ảnh tổn thương đặc trưng gợi ý người bệnh từng bị nhiễm ấu trùng sán dây lợn (Taenia solium), các nang sán đã vôi hóa và tồn tại lâu dài trong mô. Bệnh nhân được điều trị theo phác đồ, đáp ứng tốt và được cho ra viện tiếp tục theo dõi.

Sán dây lợn là ký sinh trùng lây qua đường tiêu hóa, thường do ăn thịt lợn "gạo" chưa chín hoặc rau sống nhiễm trứng sán. Khi vào cơ thể, ấu trùng có thể di chuyển đến các cơ quan như cơ, mắt hoặc não, gây tổn thương thần kinh, động kinh, rối loạn tâm thần – vận động, giảm thị lực, thậm chí tử vong nếu không phát hiện sớm.

Các chuyên gia cảnh báo: bệnh có thể phòng ngừa bằng cách ăn chín, uống chín, rửa tay sạch trước khi ăn, không ăn tiết canh, gỏi sống hay thịt tái. Ấu trùng sán bị tiêu diệt khi đun sôi trên 2 phút. Người từng ăn thịt lợn tái, rau sống hoặc có triệu chứng nghi ngờ như đau đầu kéo dài, co giật, rối loạn thị giác nên đi khám chuyên khoa ký sinh trùng sớm.

Từ khóa:

Bạn cần đăng nhập để thực hiện chức năng này!

Bình luận không đăng nhập

Bạn không thể gửi bình luận liên tục.
Xin hãy đợi 60 giây nữa.