Đột quỵ não ở người trẻ: Đừng bỏ qua dấu hiệu sớm

VTV.vn - Đột quỵ không còn là bệnh lý chỉ gặp ở người lớn tuổi. Trường hợp bệnh nhân 23 tuổi bị xuất huyết não nặng là lời cảnh báo về nguy cơ trẻ hóa của căn bệnh nguy hiểm này.

Một nam bệnh nhân 23 tuổi, trước đó hoàn toàn khỏe mạnh, bất ngờ xuất hiện cơn đau đầu dữ dội vào buổi sáng, sau đó nhanh chóng rơi vào tình trạng giảm ý thức và liệt nửa người.

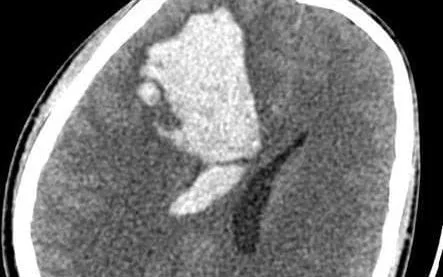
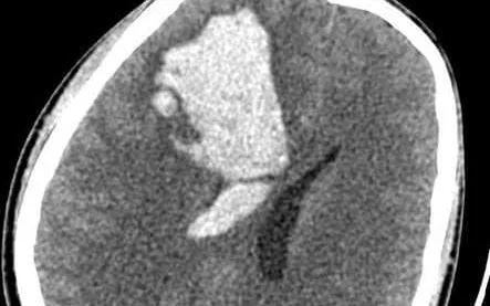
Tại Bệnh viện Đa khoa Bắc Ninh số 2, kết quả chụp cắt lớp vi tính cho thấy bệnh nhân bị xuất huyết não nặng, tình trạng đe dọa trực tiếp đến tính mạng. Ngay lập tức, các bác sĩ tiến hành phẫu thuật và xử trí cấp cứu. Nhờ được can thiệp kịp thời, người bệnh đã hồi phục rõ rệt chỉ sau vài ngày điều trị.

Theo các bác sĩ, trường hợp này cho thấy đột quỵ có thể xảy ra ở cả người trẻ, đặc biệt ở những người có lối sống thiếu lành mạnh hoặc mang bệnh lý tiềm ẩn nhưng chưa được phát hiện.

Người dân cần ghi nhớ nguyên tắc FAST để nhận biết sớm đột quỵ. Trong đó, F là méo miệng, lệch mặt; A là yếu hoặc liệt tay chân một bên; S là nói khó, nói ngọng; T là cần đưa người bệnh đến cơ sở y tế ngay khi xuất hiện dấu hiệu.

Ngoài các biểu hiện trên, những triệu chứng xuất hiện đột ngột như đau đầu dữ dội, chóng mặt, nhìn mờ hoặc rối loạn ý thức cũng không nên chủ quan bỏ qua.

Các chuyên gia khuyến cáo, để giảm nguy cơ đột quỵ, người trẻ cần duy trì lối sống khoa học, tập luyện thể dục thường xuyên, không hút thuốc lá, hạn chế rượu bia và khám sức khỏe định kỳ để kiểm soát sớm các yếu tố nguy cơ.

Đột quỵ có thể xảy ra rất nhanh và bất ngờ. Việc nhận biết sớm, đưa người bệnh đi cấp cứu trong "thời gian vàng" là yếu tố quyết định cơ hội sống và phục hồi.

Bạn cần đăng nhập để thực hiện chức năng này!

Bình luận không đăng nhập

Bạn không thể gửi bình luận liên tục.
Xin hãy đợi 60 giây nữa.