Hiếm gặp: Bệnh nhân mắc đồng thời hai ung thư nguyên phát

VTV.vn - Các bác sĩ Bệnh viện Bạch Mai vừa phát hiện một bệnh nhân nữ mắc đồng thời ung thư đại tràng phải và ung thư đường mật trong gan.

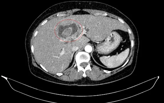
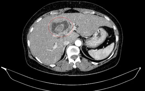
Bệnh nhân nữ, 59 tuổi, nhập viện trong tình trạng vàng da, ngứa và đau vùng hạ sườn phải kéo dài. Kết quả chẩn đoán hình ảnh ban đầu cho thấy tổn thương đường mật trong gan kèm sỏi và tình trạng giãn đường mật.

Trong quá trình thăm khám toàn diện, các bác sĩ tiếp tục nội soi tiêu hóa và phát hiện thêm một khối u tại đại tràng lên. Kết quả sinh thiết xác định đây là ung thư biểu mô tuyến.

Sau hội chẩn đa chuyên khoa, các bác sĩ xác định người bệnh mắc đồng thời hai ung thư nguyên phát, thay vì một khối u di căn.

Cụ thể, ung thư đại tràng phải được xác định ở giai đoạn sớm (IA), chưa có di căn hạch. Trong khi đó, ung thư đường mật trong gan ở giai đoạn tiến triển (IIIB), có xâm lấn và di căn hạch.

Theo các chuyên gia, việc phân biệt hai ung thư nguyên phát với ung thư di căn có ý nghĩa quyết định trong việc lựa chọn chiến lược điều trị.

Dựa trên thể trạng người bệnh và đặc điểm tổn thương, ekip điều trị quyết định thực hiện phẫu thuật triệt căn trong cùng một lần mổ.

Ca phẫu thuật bao gồm cắt đoạn đại tràng phải kèm nạo vét hạch D3, đồng thời cắt gan trái và đường mật ngoài gan để xử trí tổn thương đường mật.

Phẫu thuật diễn ra thuận lợi, các tổn thương được loại bỏ hoàn toàn. Sau mổ, bệnh nhân hồi phục tốt, chức năng gan mật dần ổn định.

Kết quả giải phẫu bệnh sau phẫu thuật cho thấy tổn thương đại tràng đã được cắt bỏ triệt căn, không cần điều trị bổ trợ.

Trong khi đó, ung thư đường mật có xâm lấn thần kinh và di căn hạch, do đó bệnh nhân được chuyển sang Trung tâm Y học hạt nhân và Ung bướu để tiếp tục hóa trị bổ trợ nhằm giảm nguy cơ tái phát.

Các bác sĩ cho biết việc phát hiện đồng thời hai ung thư nguyên phát trong hệ tiêu hóa là rất hiếm. Trường hợp này cho thấy vai trò quan trọng của thăm khám toàn diện và chẩn đoán chính xác trong xây dựng phác đồ điều trị tối ưu.

Đáng chú ý, ung thư đường mật trong gan thường có tiên lượng xấu do phát hiện muộn. Tuy nhiên ở bệnh nhân này, bệnh được phát hiện tương đối sớm nhờ triệu chứng tắc mật, tạo điều kiện để can thiệp phẫu thuật triệt căn.

Các chuyên gia khuyến cáo người dân nên khám sức khỏe định kỳ, đặc biệt khi xuất hiện các dấu hiệu bất thường như đau bụng, vàng da hoặc rối loạn tiêu hóa kéo dài.

Sau điều trị, bệnh nhân cần tái khám định kỳ 3-6 tháng/lần với các phương pháp theo dõi như siêu âm, CT, MRI và xét nghiệm dấu ấn ung thư. Với ung thư đại tràng, nội soi kiểm tra nên thực hiện mỗi 1-2 năm để phát hiện sớm tái phát hoặc tổn thương mới.

Theo các bác sĩ, ca bệnh là minh chứng cho hiệu quả của việc phối hợp đa chuyên khoa và cá thể hóa điều trị trong các trường hợp ung thư phức tạp.

Bạn cần đăng nhập để thực hiện chức năng này!

Bình luận không đăng nhập

Bạn không thể gửi bình luận liên tục.
Xin hãy đợi 60 giây nữa.