Khâu vòng cổ tử cung cứu thai phụ có dị dạng hiếm

VTV.vn - Thai phụ mang dị dạng hai cổ tử cung suýt sinh non ở tuần 27 đã được khâu vòng cấp cứu thành công, giúp kéo dài thai kỳ thêm 5 tuần, đảm bảo an toàn cho trẻ.

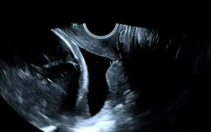
Sản phụ 26 tuổi nhập Bệnh viện Sản Nhi Nghệ An trong tình trạng nguy kịch khi cổ tử cung phía mang thai rút ngắn chỉ còn 2mm, không đủ giữ túi ối. Với dị dạng hai cổ tử cung, nguy cơ sinh non tăng cao, thai kỳ đứng trước nguy cơ chấm dứt sớm.

Trước tình huống khẩn cấp, các bác sĩ đã hội chẩn và quyết định thực hiện khâu vòng cổ tử cung. Đây là thủ thuật khó, đòi hỏi xác định chính xác vị trí can thiệp trên nền giải phẫu bất thường, nhằm tránh vỡ ối hoặc kích thích chuyển dạ.

Ca can thiệp diễn ra thuận lợi. Mũi khâu giúp củng cố cổ tử cung, giữ ổn định túi ối. Sau thủ thuật, thai phụ được theo dõi sát, cổ tử cung cải thiện, tạo điều kiện để thai nhi tiếp tục phát triển.

Sau 5 tuần điều trị và theo dõi, thai phụ chuyển dạ ở tuần 32 và sinh con an toàn. Nhờ được sử dụng thuốc hỗ trợ trưởng thành phổi và bảo vệ não trước sinh, trẻ có tình trạng ổn định sau sinh. Sau 11 ngày chăm sóc hồi sức, trẻ đã tự thở và tiến triển tốt.

Theo các bác sĩ, dị dạng hai cổ tử cung là yếu tố nguy cơ cao gây hở eo tử cung và sinh non. Việc phát hiện sớm qua siêu âm và can thiệp kịp thời có ý nghĩa quyết định trong việc giữ thai.

Chuyên gia khuyến cáo, thai phụ cần khám ngay khi có dấu hiệu như đau bụng từng cơn, gò tử cung, ra máu hoặc dịch âm đạo bất thường, thai máy yếu hoặc cảm giác nặng vùng kín để được xử trí kịp thời.

Bạn cần đăng nhập để thực hiện chức năng này!

Bình luận không đăng nhập

Bạn không thể gửi bình luận liên tục.
Xin hãy đợi 60 giây nữa.