(Ảnh minh họa: Unity Point)
Phản ứng sớm của cơ thể quyết định mức độ bệnh
Nghiên cứu mới của các nhà khoa học Mỹ cho thấy, sự khác biệt này có thể bắt nguồn từ cách các tế bào trong mũi phản ứng với virus ngay từ những giờ đầu tiên nhiễm bệnh.
Tiến sĩ Ellen Foxman, Phó giáo sư Y học xét nghiệm và Miễn dịch học tại Trường Y Yale (Mỹ), vẫn chưa thể quên hình ảnh con trai nhỏ của bà chật vật thở trong một cơn hen suyễn dữ dội. Đó là khoảnh khắc ám ảnh đối với bất kỳ bậc cha mẹ nào. Nhưng với một nhà khoa học, trải nghiệm cá nhân ấy cũng đặt ra một câu hỏi lớn về mặt sinh học và y học.
Tiến sĩ Foxman biết con trai mình mắc bệnh hen suyễn. Bà cũng hiểu rằng rhinovirus - loại virus phổ biến nhất gây cảm lạnh thông thường - là một trong những tác nhân hàng đầu kích hoạt các cơn hen. Trên thực tế, nhiễm rhinovirus được xem là nguyên nhân thường gặp nhất gây ra các đợt hen cấp.
Điều khiến bà và các cộng sự đặc biệt quan tâm là vì sao cùng một loại virus này, ở nhiều người chỉ gây cảm nhẹ ở mũi, gần như không đáng kể, nhưng ở một số khác lại dẫn đến những cơn khó thở nghiêm trọng, thậm chí đe dọa tính mạng?
Theo Tiến sĩ Foxman, điểm mấu chốt không chỉ nằm ở bản thân virus, mà ở cách cơ thể mỗi người phản ứng với nó. "Chính phản ứng của cơ thể mới là yếu tố quyết định bệnh mà virus gây ra", bà nhấn mạnh.
Trong nghiên cứu được công bố tháng 1 vừa qua trên tạp chí khoa học Cell Press Blue, nhóm của Tiến sĩ Foxman đã phát hiện một yếu tố then chốt: tốc độ và hiệu quả phản ứng của các tế bào mũi trước sự xâm nhập của virus. Cụ thể, phản ứng này liên quan đến interferon - một nhóm protein đóng vai trò "tín hiệu báo động" của hệ miễn dịch. Interferon giúp ngăn chặn virus nhân lên và lây lan sang các tế bào khác. Tuy nhiên, phản ứng interferon không giống nhau ở tất cả mọi người.
Để làm rõ cơ chế này, các nhà khoa học đã nuôi cấy tế bào mũi lấy từ người trưởng thành khỏe mạnh trong phòng thí nghiệm. Sau khoảng bốn tuần, các tế bào này biệt hóa thành một lớp mô hoàn chỉnh, có cấu trúc và chức năng tương tự niêm mạc mũi của con người.
Khi các mô tế bào này được cho nhiễm rhinovirus, nhóm nghiên cứu sử dụng công nghệ cho phép quan sát đồng thời hàng nghìn tế bào, theo dõi cách từng tế bào - cả tế bào bị nhiễm và tế bào "đứng bên cạnh" - kích hoạt các cơ chế phòng vệ.
Kết quả cho thấy, nếu phản ứng interferon được kích hoạt sớm, virus chỉ xâm nhập chưa đến 2% số tế bào mũi. Trong điều kiện này, ở người bệnh thực tế, nhiễm virus có thể không gây triệu chứng hoặc chỉ dẫn đến vài biểu hiện rất nhẹ như hắt hơi, sổ mũi.

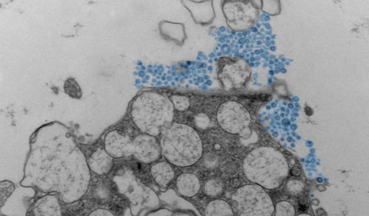
Ảnh hiển vi điện tử cho thấy một tế bào biểu mô mũi người đang giải phóng rhinovirus, được hiển thị bằng màu xanh lam. Virus cảm lạnh thông thường chỉ gây ra triệu chứng sổ mũi nhẹ đối với một số người nhưng lại là một căn bệnh khó chịu đối với những người khác. (Ảnh: Bao Wang)
Ngược lại, khi các nhà khoa học chủ động tạo ra môi trường mà phản ứng interferon ban đầu bị ức chế, tình hình thay đổi rõ rệt. Tỷ lệ tế bào bị nhiễm tăng vọt lên khoảng 30%. Đồng thời, các tế bào này sản xuất lượng lớn chất nhầy và gây viêm mạnh - những dấu hiệu điển hình của một đợt cảm lạnh nặng, kéo dài và gây mệt mỏi.
Như vậy, cùng một loại virus, nhưng tùy vào khả năng "ra tay sớm" của hệ miễn dịch tại mũi, cơ thể có thể kiểm soát tốt bệnh hoặc để virus gây tổn thương rộng hơn.
Hướng mở cho điều trị trong tương lai
Dù phát hiện trên mang lại góc nhìn mới, một câu hỏi quan trọng vẫn chưa có lời giải trọn vẹn: vì sao ở một số người, phản ứng interferon lại yếu hoặc bị ức chế, dẫn đến viêm nhiễm nặng hơn?
Theo Tiến sĩ Foxman, cần có thêm các nghiên cứu trên người trong điều kiện thực tế để xác định những yếu tố làm suy giảm phản ứng interferon. Dù vậy, bà cho rằng nghiên cứu hiện tại là bước khởi đầu quan trọng giúp hiểu rõ hơn những gì xảy ra trong mũi - "cửa ngõ" đầu tiên của virus đường hô hấp - khi cơ thể bị nhiễm rhinovirus.
Về lâu dài, những hiểu biết này có thể mở đường cho các phương pháp điều trị mới, tập trung vào việc kiểm soát viêm và giảm sản xuất chất nhầy, thay vì chỉ điều trị triệu chứng. Đánh giá về nghiên cứu, Tiến sĩ Dan Barouch, Giám đốc Trung tâm Nghiên cứu Virus học và Vaccine tại Trung tâm Y tế Beth Israel Deaconess (Boston, Mỹ), cho rằng đây là một công trình rất có giá trị. Tuy nhiên, ông lưu ý rằng các kết quả cần được kiểm chứng thêm thông qua nghiên cứu trên bệnh nhân nhiễm rhinovirus trong đời sống thực.
Theo ông Barouch, những người có phản ứng interferon mạnh ngay từ đầu nhiều khả năng chỉ bị cảm nhẹ và hồi phục nhanh, trong khi những người có phản ứng kém hơn sẽ dễ bị nhiễm trùng lan rộng và nặng hơn. Tuy vậy, hiện vẫn chưa rõ liệu mỗi cá nhân có thể chủ động cải thiện phản ứng interferon của mình bằng cách nào.
Ngoài interferon, các chuyên gia cũng cho rằng còn nhiều yếu tố khác ảnh hưởng đến mức độ nặng nhẹ của bệnh. Tiến sĩ Larry Anderson, Giáo sư và đồng Giám đốc chuyên ngành bệnh truyền nhiễm nhi khoa tại Trường Y Đại học Emory (Mỹ), nhận định rằng sự khác biệt trong biểu hiện bệnh khi nhiễm cùng một loại virus là hiện tượng phổ biến trong y học.
Theo ông, ngoài phản ứng miễn dịch, mức độ bệnh còn phụ thuộc vào nhiều yếu tố như sự hiện diện của vi khuẩn khác trong đường hô hấp, khác biệt về gen, các bệnh nền hoặc tình trạng mạn tính sẵn có, cũng như khả năng miễn dịch hình thành từ những lần nhiễm virus trước đó.
"Không chỉ với rhinovirus, mà với cúm, virus hợp bào hô hấp, virus á cúm hay coronavirus, cùng một mầm bệnh có thể gây ra những kết cục lâm sàng rất khác nhau ở các bệnh nhân khác nhau", ông Anderson cho biết.
Những phát hiện mới một lần nữa khẳng định rằng, trong cuộc "đấu trí" giữa virus và con người, hệ miễn dịch - đặc biệt là phản ứng sớm tại những vị trí như mũi - đóng vai trò then chốt. Hiểu rõ hơn cơ chế này không chỉ giúp giải thích vì sao có người "chỉ hắt hơi nhẹ", trong khi người khác phải chịu đựng bệnh nặng, mà còn mở ra triển vọng cải thiện phòng ngừa và điều trị các bệnh đường hô hấp trong tương lai.
Bình luận (0)