Tụ máu não sau cú ngã tưởng nhẹ

VTV.vn - Một cú vấp ngã tưởng chừng không đáng kể nhưng đã khiến bệnh nhân rơi vào tình trạng tụ máu não nguy kịch, buộc các bác sĩ phải phẫu thuật khẩn.

Hình minh họa.

Hình minh họa.

Bệnh nhân T.V.H. (55 tuổi, trú huyện Vĩnh Linh, tỉnh Quảng Trị) nhập viện với biểu hiện đau gối phải sau khi vấp ngã nhẹ, kèm kết quả xét nghiệm men gan tăng. Trong giai đoạn đầu theo dõi tại Khoa Nội tổng hợp, Bệnh viện Đa khoa tỉnh Quảng Trị chưa ghi nhận dấu hiệu thần kinh rõ ràng. Tuy nhiên, chỉ sau một đêm, tình trạng bệnh diễn biến xấu nhanh chóng, bệnh nhân giảm tri giác, tiếp xúc chậm, đau đầu nhiều và buồn nôn.

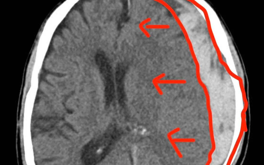
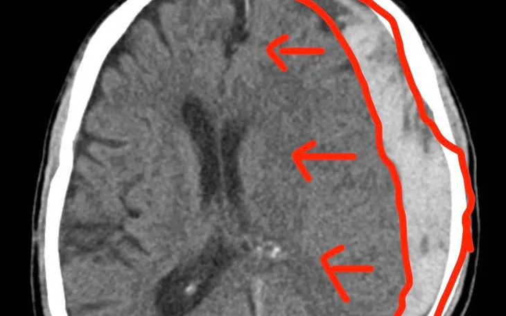
Ngay lập tức, bệnh nhân được chỉ định chụp cắt lớp vi tính sọ não. Kết quả cho thấy tụ máu dưới màng cứng hai bán cầu giai đoạn cấp, kèm tụ máu dọc liềm đại não và lều tiểu não phải, gây chèn ép não thất bên và làm lệch đường giữa 9 mm - tình trạng đe dọa tính mạng.

Trước diễn biến nguy kịch, các bác sĩ Khoa Hồi sức tích cực - Chống độc và Ngoại thần kinh đã hội chẩn khẩn cấp và thống nhất phẫu thuật mở sọ giảm áp, lấy máu tụ cấp cứu. Ca mổ được tiến hành kịp thời, giải phóng chèn ép não, giúp bệnh nhân vượt qua giai đoạn nguy hiểm.

Sau phẫu thuật, bệnh nhân tiếp tục được điều trị và theo dõi sát tại Khoa Hồi sức tích cực - Chống độc. Nhờ sự phối hợp chặt chẽ giữa các chuyên khoa Nội tổng hợp, Hồi sức tích cực - Chống độc, Ngoại thần kinh và Phục hồi chức năng, bệnh nhân phục hồi tốt, có thể tự đi lại, sinh hoạt bình thường và xuất viện sau hơn một tháng điều trị.

Theo gia đình, ban đầu bệnh nhân không nhớ rõ việc bị ngã, dẫn đến việc nhập viện muộn, làm trì hoãn can thiệp trong "giờ vàng". Các bác sĩ cảnh báo, sau chấn thương đầu, dù nhẹ, nếu xuất hiện đau đầu tăng dần, buồn nôn, nôn, lơ mơ, chậm chạp hoặc thay đổi tri giác, người bệnh cần đến cơ sở y tế ngay để được kiểm tra và xử trí kịp thời, tránh hậu quả đáng tiếc.

Bạn cần đăng nhập để thực hiện chức năng này!

Bình luận không đăng nhập

Bạn không thể gửi bình luận liên tục.
Xin hãy đợi 60 giây nữa.