Cứu sống nhiều ca nhồi máu cơ tim nhờ can thiệp kịp thời

Linh Chi

24/09/2025 22:51 GMT+7

VTV.vn - Nhiều ca nhồi máu cơ tim nguy kịch được cấp cứu thành công tại Bệnh viện Đa khoa Vĩnh Long nhờ hệ thống DSA hiện đại và đội ngũ bác sĩ tim mạch can thiệp chuyên sâu.

Bệnh nhân L.V.D. (46 tuổi) nhập viện trong tình trạng đau thắt ngực dữ dội, được chẩn đoán nhồi máu cơ tim cấp vùng trước. Bệnh nhân được đặt stent phủ thuốc mở thông đoạn tắc, sau can thiệp đã ổn định.

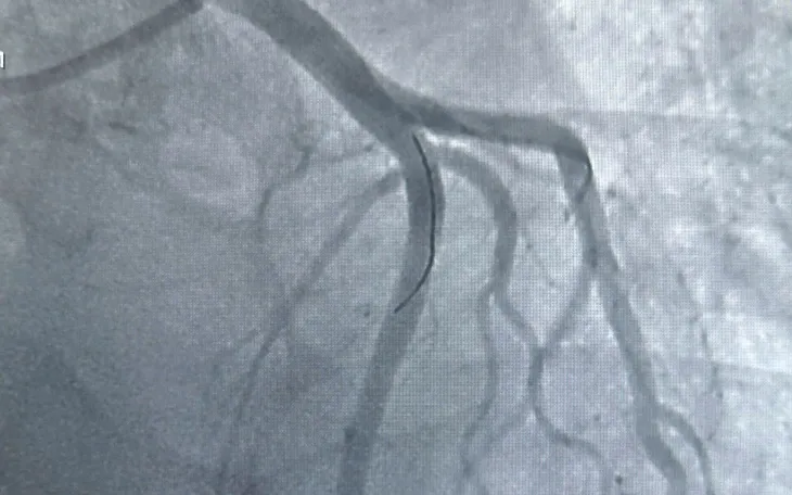
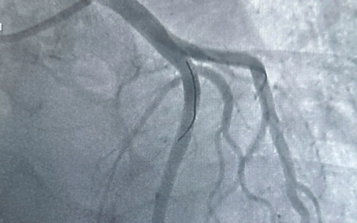
Một ca khác là bệnh nhân Đ.H.M. (55 tuổi) có nhiều bệnh nền, nhập viện muộn với nhồi máu cơ tim cấp vùng dưới. Kết quả DSA cho thấy mạch vành tổn thương cả ba nhánh, trong đó động mạch vành phải tắc hoàn toàn. Các bác sĩ đã đặt hai stent, cứu sống bệnh nhân trong tình huống nguy kịch.

Theo các chuyên gia, hệ thống chụp mạch số hóa xóa nền (DSA) giúp bác sĩ xác định chính xác vị trí tắc hẹp, từ đó can thiệp ngay tại chỗ, giảm biến chứng và rút ngắn thời gian điều trị. Bệnh viện Đa khoa Vĩnh Long hiện đã ứng dụng hiệu quả kỹ thuật này trong cấp cứu tim mạch, góp phần giảm tỷ lệ tử vong do nhồi máu cơ tim tại địa phương.

Bác sĩ khuyến cáo, khi có dấu hiệu đau ngực, khó thở, vã mồ hôi, mệt bất thường, người dân cần đến bệnh viện ngay để được chẩn đoán và điều trị kịp thời.

Bạn cần đăng nhập để thực hiện chức năng này!

Bình luận không đăng nhập

Bạn không thể gửi bình luận liên tục.
Xin hãy đợi 60 giây nữa.