VTV.vn - Bệnh viện Đa khoa Đức Giang (Hà Nội) vừa phẫu thuật nội soi cho bệnh nhân mang khối kén khí phổi khổng lồ dính sát động mạch chủ và nhiều mạch máu lớn trong lồng ngực.
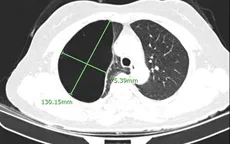
VTV.vn - Sau thời gian dài bị đau tức ngực, người bệnh N.T.H., sinh năm 1966 đã được các bác sĩ Bệnh viện đa khoa tỉnh Phú Thọ cắt khối kén khí phổi kích thước khoảng 13x7cm.