Bệnh nhân ho có đàm trắng đục lâu ngày, bác sĩ phát hiện kén khí phổi lớn

Tuấn Bảo

26/10/2020 08:29 GMT+7

VTV.vn - Thông tin từ Bệnh viện Đa khoa tỉnh Lào Cai, bệnh viện vừa tiếp nhận và phẫu thuật nội soi thành công cho 2 bệnh nhân có kén khí phổi lớn.

Bệnh nhân đầu tiên là T.V.H. (nam, 67 tuổi, trú tại Sơn Hà, Bảo Thắng, Lào Cai) nhập viện trong tình trạng ho có đàm trắng đục lâu ngày, khó thở, đã dẫn lưu phổi 2 lần, tiền sử từng điều trị lao phổi năm 1994. Gia đình bệnh nhân cho biết: Vài tháng gần đây, bệnh nhân khó thở và nặng bên ngực (phải), nhất là khi lao động nên đi khám.

Bệnh nhân thứ hai là T.V.D. (nam, 65 tuổi, trú tại Bát Xát, Lào Cai) nhập viện trong tình trạng ho có đàm trắng đục thời gian dài, khó thở.

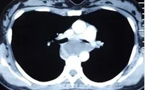
Kết quả chụp cắt lớp vi tính ngực thấy: 2 bệnh nhân có nhiều kén khí đỉnh phổi phải và kén khí phổi phải. Kết quả đo chức năng hô hấp bệnh nhân bị tắc nghẽn đường dẫn khí nhỏ.

Sau khi hội chẩn, bệnh nhân được chỉ định phẫu thuật nội soi vào khoang màng phổi phải bằng ba lỗ trocar, quan sát thấy kén khí ở thùy trên cực lớn (10 x 5cm) cùng nhiều kén nhỏ khác đẩy làm xẹp phổi phải của bệnh nhân. Do đó, bác sĩ quyết định cắt kén khí qua nội soi.

Theo ê kíp phẫu thuật, kén khí phổi ở bệnh nhân H. được hình thành nguyên phát (do trước đó bệnh nhân không có các bệnh lý mạn tính ở phổi, (1 bệnh nhận có bênh mạn tính là lao phổi). Kén khí lớn dần theo thời gian, sẽ chèn ép làm xẹp nhu mô phổi.

Nếu không phát hiện, phẫu thuật kịp thời sẽ gây xẹp cả phổi ở bên mọc kén, đẩy trung thất ép cả phổi bên đối diện dẫn đến hậu quả rất nặng nề là bệnh nhân khó thở. Sau đó, do tăng áp lực trong đường thở bệnh nhân, kén khí có thể vỡ gây tràn khí màng phổi dẫn tử vong.

3 ngày sau phẫu thuật, sức khỏe bệnh nhân ổn định, phục hồi tốt, ít đau vết mổ, phổi giãn nở tốt, có thể vận động nhẹ nhàng, đi lại bình thường.

* Mời quý độc giả theo dõi các chương trình đã phát sóng của Đài Truyền hình Việt Nam trên TV OnlineVTVGo!

Tin liên quan

Vỡ kén khí gây tràn khí màng phổi khi chơi thể thao

Vỡ kén khí gây tràn khí màng phổi khi chơi thể thao

VTV.vn - Bệnh nhân nam, 36 tuổi, trú tại Long Biên, Hà Nội khi đang chơi thể thao bỗng có triệu chứng đau ngực, khó thở.

Bạn cần đăng nhập để thực hiện chức năng này!

Bình luận không đăng nhập

Bạn không thể gửi bình luận liên tục.
Xin hãy đợi 60 giây nữa.