Nhìn mờ kéo dài, phát hiện u tuyến yên nguy hiểm

Nguyên Hà

07/01/2026 21:19 GMT+7

VTV.vn - Một bệnh nhân 44 tuổi đến khám vì nhìn mờ kéo dài, không đau nhức, đã được phát hiện u tuyến yên kích thước lớn nhờ thăm khám mắt chuyên sâu tại Bệnh viện Bạch Mai.

Các bác sĩ Khoa Mắt, Bệnh viện Bạch Mai vừa tiếp nhận một trường hợp cho thấy bất thường thị giác có thể là dấu hiệu cảnh báo bệnh lý nghiêm trọng của não bộ.

Người bệnh 44 tuổi, trú tại Hà Nội, đến khám vì tình trạng nhìn mờ, giảm thị lực kéo dài nhiều tháng nhưng không kèm đau nhức hay biểu hiện cấp tính. Qua đo thị lực, bác sĩ nhận thấy người bệnh chỉ nhìn được phần chữ phía mũi, trong khi không nhận biết được phần thị trường phía thái dương ở cả hai mắt.

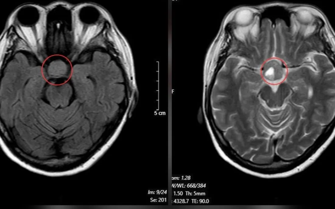
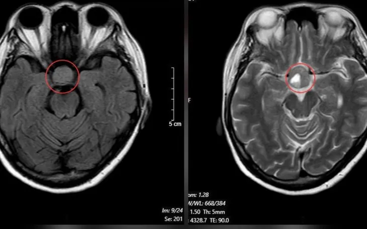
Kết quả đo thị trường ghi nhận tình trạng khuyết hoàn toàn nửa thị trường phía thái dương hai bên. Soi đáy mắt cho thấy đĩa thị bạc màu, gợi ý tổn thương thần kinh thị giác kéo dài. Đây là biểu hiện điển hình của tình trạng chèn ép giao thoa thị giác - vị trí bắt chéo của dây thần kinh thị giác tại nền sọ.

Từ các dấu hiệu này, người bệnh được chỉ định chụp cộng hưởng từ (MRI) sọ não. Kết quả phát hiện khối u tuyến yên kích thước lớn (macroadenoma), đo được khoảng 26x21 mm, chèn ép giao thoa thị giác. Người bệnh sau đó được chuyển đến chuyên khoa Phẫu thuật Thần kinh để tư vấn và lên kế hoạch điều trị nhằm phòng ngừa nguy cơ mất thị lực không hồi phục và các biến chứng thần kinh khác.

Các bác sĩ cho biết, u tuyến yên và nhiều bệnh lý não khác có thể biểu hiện sớm qua các triệu chứng ở mắt như nhìn mờ kéo dài, thu hẹp tầm nhìn, thay đổi thị trường hoặc giảm thị lực không rõ nguyên nhân. Tuy nhiên, các dấu hiệu này thường tiến triển âm thầm, khiến người bệnh dễ chủ quan.

Các chuyên gia khuyến cáo, khi xuất hiện tình trạng nhìn mờ kéo dài, cảm giác "nhìn thiếu một phần tầm nhìn" hoặc giảm thị lực không rõ nguyên nhân, người dân cần đi khám sớm tại cơ sở y tế có khả năng thăm dò chuyên sâu để phát hiện kịp thời các bệnh lý nguy hiểm.

Bạn cần đăng nhập để thực hiện chức năng này!

Bình luận không đăng nhập

Bạn không thể gửi bình luận liên tục.
Xin hãy đợi 60 giây nữa.