u não

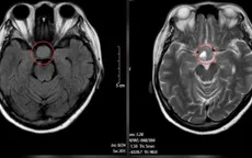
Đau đầu, mờ mắt tưởng cận thị, bé trai 9 tuổi phát hiện mắc u não vị trí nguy hiểm

Đau đầu, mờ mắt tưởng cận thị, bé trai 9 tuổi phát hiện mắc u não vị trí nguy hiểm

VTV.vn - Bệnh viện Đa khoa Hùng Vương (Phú Thọ) vừa tiếp nhận 2 trường hợp bệnh nhân đặc biệt đến khám với triệu chứng mờ mắt nhưng phát hiện khối u não lớn.
Đi khám vì đau đầu, chóng mặt, người bệnh phát hiện khối u não lớn

Đi khám vì đau đầu, chóng mặt, người bệnh phát hiện khối u não lớn

VTV.vn - Các bác sĩ Bệnh viện Hữu nghị Việt Tiệp Hải Phòng vừa thực hiện thành công ca phẫu thuật u màng não có kích thước khổng lồ.
Mắc bệnh tâm thần liên quan đến u não

Mắc bệnh tâm thần liên quan đến u não

VTV.vn - Bệnh nhân nữ 48 tuổi, đến khám tại Bệnh viện Nguyễn Tri Phương (TP. Hồ Chí Minh) với tình trạng sa sút trí tuệ.
Dùng robot trí tuệ nhân tạo mổ não ngay tại Việt Nam

Dùng robot trí tuệ nhân tạo mổ não ngay tại Việt Nam

VTV.vn - Mổ u não và đột quỵ xuất huyết não bằng robot trí tuệ nhân tạo là cuộc cách mạng mới không chỉ ở Việt Nam mà trên thế giới, giúp bảo toàn tối đa chức năng cho người bệnh.
Tư vấn mổ u não và đột quỵ xuất huyết não bằng robot trí tuệ nhân tạo duy nhất Việt Nam

Tư vấn mổ u não và đột quỵ xuất huyết não bằng robot trí tuệ nhân tạo duy nhất Việt Nam

VTV.vn - Tổ chức Y tế Thế giới cho biết, tính riêng năm 2020, Việt Nam có hơn 3.120 ca u não và u ở hệ thần kinh trung ương. Số ca tử vong là 2.614 ca.
Tư vấn trực tuyến: "Mổ u não & đột quỵ xuất huyết não bằng Robot trí tuệ nhân tạo duy nhất Việt Nam"

Tư vấn trực tuyến: "Mổ u não & đột quỵ xuất huyết não bằng Robot trí tuệ nhân tạo duy nhất Việt Nam"

VTV.vn - Chương trình tư vấn trực tuyến "Mổ u não & đột quỵ xuất huyết não bằng Robot trí tuệ nhân tạo duy nhất Việt Nam" sẽ diễn ra vào lúc 20h, thứ 5 ngày 8/6/2023.
Nội soi qua hốc mắt để điều trị khối u trong não cho bệnh nhân

Nội soi qua hốc mắt để điều trị khối u trong não cho bệnh nhân

VTV.vn - Các bác sĩ Bệnh viện Đà Nẵng vừa phẫu thuật thành công khối u màng não cánh bé xương bướm bằng kỹ thuật mới: Nội soi qua hốc mắt cho 1 nữ bệnh nhân.
Đột ngột đau đầu, mất cân bằng, đi viện phát hiện khối u não

Đột ngột đau đầu, mất cân bằng, đi viện phát hiện khối u não

VTV.vn - Bệnh viện Đa khoa tỉnh Thanh Hóa vừa thực hiện thành công ca phẫu thuật cắt bỏ khối u tiểu não bên trái phức tạp bằng kính vi phẫu cho một nam bệnh nhân 63 tuổi.
Người phụ nữ bị đau đầu, buồn nôn suốt 3 tháng vì khối u màng não

Người phụ nữ bị đau đầu, buồn nôn suốt 3 tháng vì khối u màng não

VTV.vn - Bệnh viện đa khoa tỉnh Lào Cai vừa phẫu thuật thành công ca u màng não cho một bệnh nhân nữ 41 tuổi.
Phẫu thuật lấy khối u não ở vùng nguy hiểm cho bệnh nhân trẻ tuổi

Phẫu thuật lấy khối u não ở vùng nguy hiểm cho bệnh nhân trẻ tuổi

VTV.vn - Bệnh nhân 23 tuổi, đột ngột đau đầu, chóng mặt, buồn nôn nên được đưa vào viện, kết quả chụp cắt lớp vi tính sọ não phát hiện có một khối u ở thân não.
Đi không vững, đau đầu... vì khối u não lớn

Đi không vững, đau đầu... vì khối u não lớn

VTV.vn - Bệnh viện đa khoa Hùng Vương (Phú Thọ) vừa tiếp nhận bệnh nhân nam, 34 tuổi, vào viện vì đau đầu nhiều vùng chẩm.
Phẫu thuật loại bỏ khối u não hiếm gặp cho bé trai 12 tuổi

Phẫu thuật loại bỏ khối u não hiếm gặp cho bé trai 12 tuổi

VTV.vn - Thông tin từ Bệnh viện Đa khoa vùng Tây Nguyên, bệnh viện vừa phẫu thuật thành công trường hợp bệnh nhi 12 tuổi bị u não hiếm gặp, có kích thước lớn.
Ngã chấn thương sọ não, vào viện bất ngờ phát hiện khối u não kích thước lớn

Ngã chấn thương sọ não, vào viện bất ngờ phát hiện khối u não kích thước lớn

VTV.vn - Bệnh viện Đa khoa tỉnh Quảng Ninh vừa phẫu thuật vi phẫu bóc tách thành công khối u não kích thước lớn cho một ca chấn thương sọ não.
Mất đôi mắt vì căn bệnh u não, cô bé 14 tuổi cần sự giúp đỡ

Mất đôi mắt vì căn bệnh u não, cô bé 14 tuổi cần sự giúp đỡ

VTV.vn - Đó là Em Vũ Thị Ngọc Linh, 14 tuổi, trú tại số 8 ngách 16/79 đường Bùi Thị Tự Nhiên, Hải Phòng - là bệnh nhi từng điều trị căn bệnh u não tại Bệnh viện K.
Tìm ra loại thuốc mới có thể điều trị u não ác tính cấp độ IV

Tìm ra loại thuốc mới có thể điều trị u não ác tính cấp độ IV

VTV.vn - Các nhà khoa học tại Đại học South Australia (UniSA) mới đây đã tìm ra một loại thuốc có thể điều trị căn bệnh ung thư não nguy hiểm nhất.