Tổn thương phổi - nguyên nhân hàng đầu gây tử vong liên quan truyền máu

Quang Bình

05/11/2025 11:28 GMT+7

VTV.vn - Truyền máu vừa có thể cứu sống người bệnh nhưng cũng mang theo rủi ro ở từng lần truyền máu.

Theo báo cáo giám sát tai biến truyền máu quốc gia (SHOT) của Vương quốc Anh, năm 2024 ở Anh, với khoảng 2 triệu lượt truyền, đã ghi nhận 59 ca tử vong liên quan tới truyền máu và hơn một nửa trong số đó liên quan tới các tổn thương ở phổi.

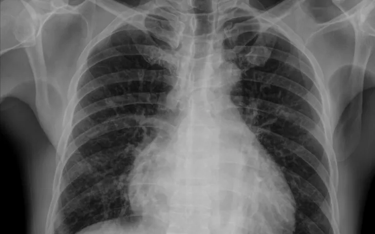
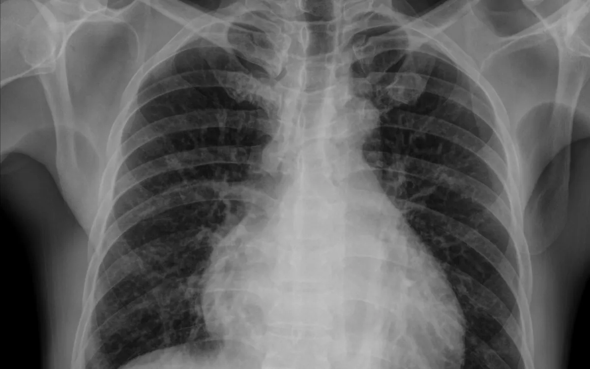
Trường hợp bệnh nhân C.Đ.C. (52 tuổi, Phú Thọ) nhập Bệnh viện Bạch Mai vì chảy máu mũi kéo dài. Trong quá trình điều trị bạch cầu cấp dòng tủy, người bệnh được truyền huyết tương và sau khoảng 20 phút, xuất hiện khó thở, SpO2 giảm, nghe phổi có ran ẩm hai bên. Kết quả chụp CT cho thấy phù phổi cấp, được xác định là quá tải tuần hoàn liên quan truyền máu (TACO). Bệnh nhân được xử trí kịp thời và cải thiện.

Các nghiên cứu quốc tế cho thấy biến chứng phổi sau truyền máu không hề hiếm. Tại Bệnh viện Đại học California (2012-2022), trong hơn 573.000 lượt truyền, có 102 ca TACO, tương đương 1/500 người truyền. CDC Hoa Kỳ ước tính tần suất TACO từ 1-11% tùy nhóm bệnh nhân.

Theo PGS.TS Nguyễn Tuấn Tùng - Phó Giám đốc Bệnh viện Bạch Mai, tổn thương phổi là nguyên nhân tử vong hàng đầu trong tai biến truyền máu và có thể xảy ra ngay ở đơn vị đầu tiên. Vì vậy, việc giám sát sát sao từng ca truyền là cực kỳ quan trọng.

Các chuyên gia khuyến cáo, cần đánh giá kỹ tình trạng tim, thận, dịch vào - ra trước truyền; truyền chậm hoặc chia nhỏ đơn vị máu với người bệnh nguy cơ; theo dõi chặt 15-30 phút đầu và hỏi lại người bệnh sau truyền để phát hiện sớm dấu hiệu bất thường.

Bạn cần đăng nhập để thực hiện chức năng này!

Bình luận không đăng nhập

Bạn không thể gửi bình luận liên tục.
Xin hãy đợi 60 giây nữa.