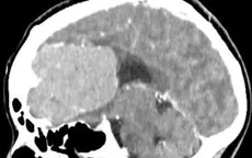
Vi phẫu nền sọ lấy khối u não "khổng lồ" cho bệnh nhân nữ VTV.vn - Bệnh viện Đa khoa Thái Bình (Hưng Yên) vừa phẫu thuật thành công khối u não kích thước lớn tại vùng trước nền sọ cho một bệnh nhân nữ.