Vi phẫu nền sọ lấy khối u não "khổng lồ" cho bệnh nhân nữ

VTV.vn - Bệnh viện Đa khoa Thái Bình (Hưng Yên) vừa phẫu thuật thành công khối u não kích thước lớn tại vùng trước nền sọ cho một bệnh nhân nữ.

Bệnh nhân (sinh năm 1972) nhập viện trong tình trạng sức khỏe suy giảm, đau đầu, chóng mặt, mất ngủ kéo dài và ăn uống kém. Dù có tiền sử tăng huyết áp, nhưng các triệu chứng lần này tiến triển nhanh, kèm theo mệt mỏi và dấu hiệu lú lẫn.

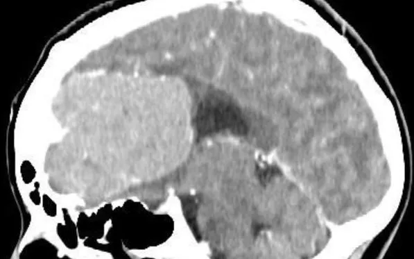
Qua thăm khám và chụp cộng hưởng từ (MRI) sọ não có thuốc cản quang, các bác sĩ phát hiện khối u não kích thước khoảng 65x80mm nằm ở tầng trước nền sọ, gây đè đẩy đường giữa 19mm. Nếu không được xử trí kịp thời, người bệnh có nguy cơ gặp biến chứng thần kinh nặng nề.

Sau hội chẩn, các bác sĩ Khoa Phẫu thuật thần kinh - Cột sống quyết định thực hiện phẫu thuật vi phẫu lấy u não. Đây là kỹ thuật sử dụng kính hiển vi chuyên dụng giúp bóc tách khối u chính xác, hạn chế tối đa tổn thương các cấu trúc não và mạch máu xung quanh.

ThS.BS Đồng Tiến Phúc, Khoa Phẫu thuật thần kinh - Cột sống cho biết, khối u có kích thước lớn và nằm ở vị trí phức tạp, gần nhiều mạch máu quan trọng như động mạch cảnh trong nên tiềm ẩn nguy cơ chảy máu hoặc đột quỵ trong quá trình phẫu thuật.

Sau hơn 2 giờ phẫu thuật, ekip đã bóc tách thành công toàn bộ khối u. Sau mổ, bệnh nhân được hồi sức và theo dõi sát sao. Việc loại bỏ khối u kịp thời giúp giảm áp lực nội sọ và hạn chế nguy cơ thiếu máu não do khối u chèn ép mạch máu lớn.

Các bác sĩ cho biết phẫu thuật u não vùng nền sọ là một trong những kỹ thuật khó của chuyên ngành ngoại thần kinh. Người dân khi có các dấu hiệu bất thường như đau đầu kéo dài, giảm thị lực, ù tai hoặc rối loạn thần kinh cần đến cơ sở y tế để được thăm khám và chẩn đoán sớm.

Bạn cần đăng nhập để thực hiện chức năng này!

Bình luận không đăng nhập

Bạn không thể gửi bình luận liên tục.
Xin hãy đợi 60 giây nữa.