u màng não

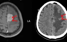
Loại bỏ u màng não liềm não bằng kỹ thuật vi phẫu hiện đại

Loại bỏ u màng não liềm não bằng kỹ thuật vi phẫu hiện đại

VTV.vn - Bệnh viện Trung ương Thái Nguyên vừa phẫu thuật u màng não liềm não ở người bệnh nam 43 tuổi bằng kỹ thuật vi phẫu, giúp cải thiện rõ rệt chức năng vận động.
Đi khám vì đau đầu kèm giảm thị lực, phát hiện mắc u màng não

Đi khám vì đau đầu kèm giảm thị lực, phát hiện mắc u màng não

VTV.vn - Các bác sĩ Bệnh viện Trung ương Quân đội 108 vừa phẫu thuật thành công khối u màng não kích thước gần 8cm cho nữ bệnh nhân 56 tuổi, ca mổ kéo dài liên tục 13 tiếng.
Đau đầu nhiều ngày, đi khám phát hiện khối u não khổng lồ

Đau đầu nhiều ngày, đi khám phát hiện khối u não khổng lồ

VTV.vn - Các bác sĩ Bệnh viện Hữu nghị Việt Tiệp Hải Phòng vừa thực hiện thành công ca phẫu thuật u màng não có kích thước khổng lồ.
Phẫu thuật thành công khối u màng não cho bệnh nhi nhỏ tuổi

Phẫu thuật thành công khối u màng não cho bệnh nhi nhỏ tuổi

VTV.vn - Bệnh viện Sản Nhi Nghệ An vừa phẫu thuật khối u màng não cho 1 bệnh nhi nhỏ tuổi. Đây là ca phẫu thuật khó và bệnh nhi có nguy cơ tử vong cao nếu không điều trị kịp thời.
Thường xuyên đau đầu vùng trán, đi khám phát hiện u màng não vùng củ yên

Thường xuyên đau đầu vùng trán, đi khám phát hiện u màng não vùng củ yên

VTV.vn - Bệnh viện Đa khoa Xuyên Á TP. Hồ Chí Minh vừa phẫu thuật bóc tách khối u màng não vùng củ yên cứu sống bệnh nhân V.T.M.L. (36 tuổi, trú tại TP. Hồ Chí Minh).
Đau đầu, yếu liệt nửa người vì khối u màng não lớn

Đau đầu, yếu liệt nửa người vì khối u màng não lớn

VTV.vn - Nam bệnh nhân 67 tuổi, trú tại Thanh Hóa có biểu hiện đau đầu, yếu liệt nửa người, tình trạng này kéo dài hơn 1 năm nay và tăng dần lên.
Phẫu thuật khối u não kích thước lớn cho bệnh nhân cao tuổi

Phẫu thuật khối u não kích thước lớn cho bệnh nhân cao tuổi

VTV.vn - Bệnh viện Đa khoa tỉnh Lào Cai lần đầu tiên thực hiện ca phẫu thuật u não lớn sâu trong nhu mô não cho bệnh nhân cao tuổi.
Vào viện khám bệnh vì ngất đột ngột, phát hiện u màng não

Vào viện khám bệnh vì ngất đột ngột, phát hiện u màng não

VTV.vn - Nam bệnh nhân 57 tuổi đến Bệnh viện đa khoa Hùng Vương (Phú Thọ) khám sau khi đột nhiên bị ngất trong 5 phút.
Nhập viện vì các triệu chứng tâm thần, cô gái trẻ phát hiện u màng não khổng lồ

Nhập viện vì các triệu chứng tâm thần, cô gái trẻ phát hiện u màng não khổng lồ

VTV.vn - Bệnh nhân nữ, 24 tuổi không có tiền sử bệnh lý và tâm thần, đã được chuyển đến một phòng khám tâm thần vì hành vi bất thường.
Loại bỏ khối u màng não cho cụ bà 81 tuổi

Loại bỏ khối u màng não cho cụ bà 81 tuổi

VTV.vn - Đi khám vì xuất hiện biểu hiện chóng mặt, giảm trí nhớ, chán ăn, mắt khứu giác, cụ bà 81 tuổi ở Thái Bình được phát khối u màng não rãnh khứu.
Thường xuyên đau đầu, yếu liệt người do khối u màng não kích thước lớn

Thường xuyên đau đầu, yếu liệt người do khối u màng não kích thước lớn

VTV.vn - Bệnh viện Bãi Cháy (Quảng Ninh) vừa phẫu thuật thành công khối u màng não kích thước lớn xâm lấn hộp sọ cho bệnh nhân nam 49 tuổi, trú tại Quảng Ninh.
Lấy khối u màng não phức tạp, gây liệt nửa người

Lấy khối u màng não phức tạp, gây liệt nửa người

VTV.vn - Bệnh viện Đa khoa vùng Tây Nguyên vừa phẫu thuật thành công, lấy toàn bộ khối u có trọng lượng 0,5 kg cho bệnh nhân bị u màng não bán cầu bên trái, gây liệt nửa người.
Đau đầu dữ dội, phát hiện bị u não trán trái

Đau đầu dữ dội, phát hiện bị u não trán trái

VTV.vn - Bệnh nhân S. (61 tuổi, trú tại Vĩnh Long) đến khám tại Bệnh viện đa khoa Xuyên Á (Vĩnh Long) trong tình trạng tình trạng đau đầu, kèm nôn ói, chóng mặt lâu ngày.